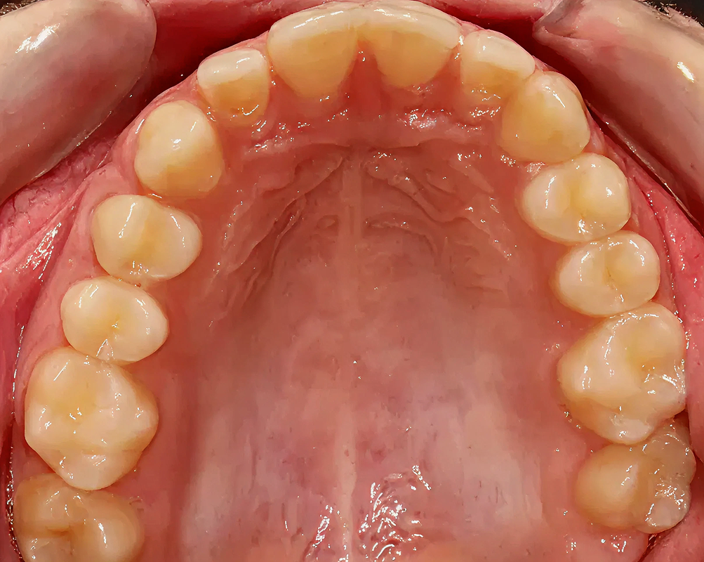
Xpander
Es un dispositivo híbrido diseñado para realizar expansiones dentoalveolares tanto superiores como inferiores.

Specialist es la solución ideal para profesionales dentales que desean ofrecer tratamientos de alineadores invisibles con total control clínico y apoyo continuo. Con nuestra tecnología avanzada, podrás transformar la experiencia de tus pacientes.



¿Qué es Specialist?
Optimiza y reduce los tiempos de tratamiento.
Dispositivos diseñados para combinar distintas especialidades dentales.
Menos alineadores, menos plásticos de un solo uso.
Descubre cómo nuestros dispositivos, pueden ayudarte en tu práctica diaria.
Es un dispositivo híbrido diseñado para realizar expansiones dentoalveolares tanto superiores como inferiores.

Este dispositivo único en el campo de la odontología permite tanto a ortodoncistas, implantólogos y odontólogos dedicados a la estética realizar distalizaciones en masa, haciendo movimientos de traslación tanto coronales como radiculares, debido a las fuerzas constantes que el dispositivo permite.

Este dispositivo permite mejorar el frente anterior proinclinando incisivos
de manera rápida y eficiente gracias a los coils integrados en el arco palatino del alineador totalmente transparente.

Este dispositivo cubre las necesidades de verticalización de molares o recuperaciones de pérdida de anclaje en el sector posterior.

Descubre cómo Geniova ha transformado sonrisas a través de casos clínicos reales. La evidencia científica respalda la efectividad de nuestro sistema de alineadores invisibles.
Este dispositivo expansor ha sido diseñado para realizar expansiones dentoalveolares tanto superiores como inferiores.

DespuésEste dispositivo permite realizar distalizaciones en masa, haciendo movimientos de traslación tanto coronales como radiculares en tiempo récord.

DespuésEste dispositivo permite mejorar el frente anterior proinclinando incisivos de manera rápida y eficiente.

DespuésEste dispositivo cubre las necesidades de verticalización de molares o recuperaciones de pérdida de anclaje en el sector posterior.

DespuésEmpezar con Specialist es utilizar dispositivos híbridos avanzados para especialistas para realizar un tratamiento completo, o combinarlos con tu marca de ortodoncia invisible.
Ser especialista homologado.
Disponer de escáner intraoral.
Realizar un flash-course Specialist.

Resolvemos tus dudas sobre la integración y el uso de Geniova en tu clínica.
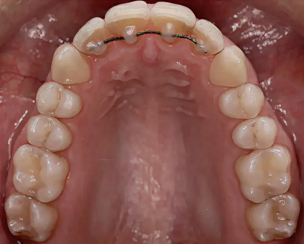
El alineador híbrido combina componentes mecánicos (arco y brackets NiTi) con la estética y comodidad de un alineador transparente, permitiendo movimientos más complejos (como distalización, expansión o verticalización) en menor tiempo y utilizando menos alineadores.
Su biomecánica está basada en estudios clínicos y pruebas exhaustivas que aportan precisión milimétrica, fuerzas constantes y una predictibilidad de movimiento superior, minimizando la necesidad de ajustes frecuentes.
Los dispositivos pueden utilizarse como fase inicial en un tratamiento completo o para resolver un requerimiento concreto antes de combinarse con otras especialidades dentales, facilitando movimientos previos a la ortodoncia o, por ejemplo, rehabilitación con implantes.
La integración de Specialist en la consulta es directa, ya que el sistema trabaja exclusivamente con registros digitales. Una vez realizado el escaneo intraoral, simplemente subes los archivos STL a nuestro software. A los pocos días se te proporcionará un plan de acción para utilizar el alineador híbrido.
Los alineadores híbridos permiten realizar cuatro tipos de movimientos: Expansión, Verticalización, Proinclinación y Distalización. La selección del dispositivo depende del movimiento prioritario que desees obtener.