Con Geniova Complete puedes prescribir cualquier tipo de caso. Esta solución dispone de cuatro tipologías de tratamiento para resolver cualquier tipo de maloclusión.
Geniova Complete ofrece un tratamiento completo de alineadores invisibles, diseñado para lograr correcciones dentales completas de manera eficiente. Con tecnología híbrida y supervisión clínica, aseguramos resultados rápidos y efectivos para cada paciente.



¿Qué es Geniova Complete?
Profesionales que quieren maximizar el tiempo de su consulta y mejorar el rendimiento clínico.
Con Complete sólo tendrás que indicar tus objetivos de tratamiento y Geniova realiza la planificación por ti.
Complete dispone de cuatro tipologías de tratamiento para ofrecerte la máxima eficacia en casos de cualquier nivel de complejidad.
Nuestro equipo te brinda apoyo desde la configuración de la cuenta hasta la aprobación del caso.
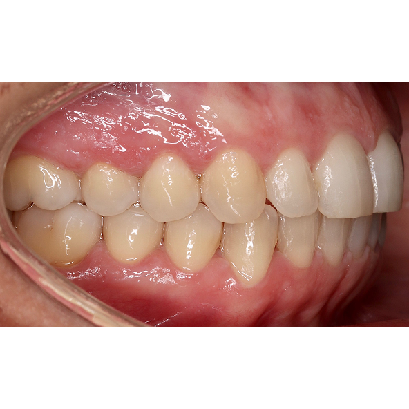
Aquí mostramos casos clínicos exitosos que respaldan la efectividad de Geniova. Las imágenes de antes y después demuestran resultados notables en nuestros pacientes.

Después
Después
Después
DespuésAquí respondemos a las preguntas más comunes sobre el tratamiento Geniova Complete.
Con Geniova Complete puedes prescribir cualquier tipo de caso. Esta solución dispone de cuatro tipologías de tratamiento para resolver cualquier tipo de maloclusión.
Con Complete solo tendrás que indicar tus objetivos de tratamiento, y Geniova realiza la planificación clínica por ti. Esto ahorra tiempo y garantiza la planificación orientada a resultados predecibles.
Complete utiliza la tecnología de combinar el alineador híbrido (Hybrid aligner) y el alineador convencional (Aligner) para una planificación clínica personalizada.
La tecnología híbrida actúa con mayor predictibilidad y eficacia, permitiendo completar movimientos como distalización, mesialización, expansión transversal, proinclinación y verticalización, con hasta un 85%* menos de alineadores frente a otros sistemas.
Recibirás soporte continuo de nuestro equipo, que te brindará apoyo desde la configuración de tu cuenta hasta la aprobación final del caso. Nuestro soporte también incluye promociones y apoyo en marketing para ayudarle a impulsar el servicio Complete en su clínica.